How Your Smile Affects Your Appearance
Teeth may not develop wrinkles, but they do reveal signs of aging. In fact, about 50% of people say a smile is the first facial feature they notice.
Simple habits like brushing after every meal, flossing daily, and visiting your dentist every six months for a checkup and professional cleaning are essential for maintaining oral health. However, even the best preventive care cannot completely stop the natural aging process of teeth. That’s where modern dentistry can help—enhancing your smile can take 10 to 15 years off your overall appearance.
If you want to look healthier and more youthful, your smile is an excellent place to begin.
Dental Treatments That Help You Look Younger
Here’s some options at Prisma Dental to improve your smile.
1. Whiten Your Teeth
Just as bright eyes are often associated with youth, a radiant white smile can instantly make your entire face appear more youthful.
Teeth naturally become darker over time for two main reasons. First, they absorb pigments from foods and beverages such as coffee, tea, wine, and certain spices.
Second, teeth gradually develop a more yellow tone as part of the natural aging process, regardless of diet. This is why teeth whitening is not considered permanent—while the whitening treatment is effective, teeth will continue to change color over time and may require periodic touch-ups.
Even with excellent oral hygiene, some discoloration is inevitable. Professional laser whitening have the best results and offers one of the most effective ways to achieve a deeper, more even shade improvement, helping your smile look brighter and more youthful for years. Results are immediate and pain-free.
3. Straighten Your Teeth
Even naturally straight teeth can gradually shift over time due to a natural process known as mesial drift. As the years pass, this movement can lead to crowding or misalignment, which often contributes to an older-looking smile.
Straighter teeth can significantly enhance facial harmony and, in many cases, create a more youthful appearance. In addition to aesthetic benefits, properly aligned teeth are easier to clean, reducing the risk of tooth decay, gum disease, and premature tooth loss — conditions that can impact both oral health and overall appearance.
Modern orthodontic options, including clear aligners, make it easier than ever to discreetly achieve a more balanced and youthful smile. At Prisma Dental, we offer in-house aligners as well as the gold standard, Invisalign.
Replace Old Metal Fillings
Visible metal fillings can make a smile appear dated. Today, tooth-colored materials such as composite resin and porcelain provide a more natural appearance while maintaining strength and durability.
Updating older restorations is cost-effective, can improve the uniformity of your smile, and contribute to a fresher, more modern look. Fillings at Prisma Dental start at $90.
4. Protect Your Smile from Disease
Brushing after every meal and flossing daily are your best defense against old-looking teeth. Red, bleeding and inflamed gums not only lead to bad breath and ugly looking smile but also to greater tooth recession once the inflammation recedes. Visit Prisma Dental every six months for a professional cleaning and check up to make sure you are retaining gum height.
5. Wear a Night Guard
Teeth that look older often show signs of wear and tear. A night guard offers double benefits for maintaining a youthful smile: it helps keep teeth properly aligned while you sleep and protects them from the damage caused by grinding and clenching.
Many people unconsciously grind their teeth at night. A night guard acts as a protective barrier, reducing enamel wear and helping preserve the natural shape of your teeth, so your smile stays younger-looking longer. Think of it as similar to using sunscreen — consistent protection today helps prevent visible damage later.
You may not notice the effects of grinding in your twenties or thirties, but by your forties and beyond, the signs often become more noticeable.
Maintaining a youthful smile is about more than appearance. Keeping your teeth healthy over the years can help you avoid discomfort, complex treatments, and unnecessary dental problems later in life.
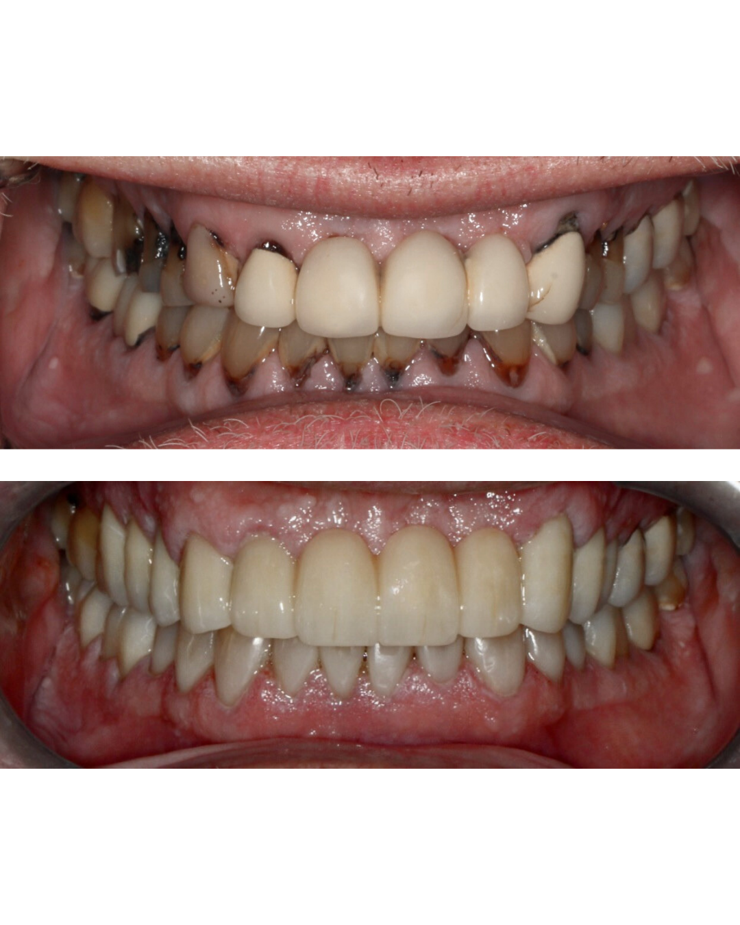
Full Smile Makeover for a More Youthful Look
What Is a Full Mouth Makeover?
A full mouth restoration or smile makeover can dramatically rejuvenate your appearance by restoring the natural harmony, color, and proportions of your teeth. This is considered a combination of treatments to achieve a new healthy beautiful and youthful smile. At Prisma Dental, we personalize the treatment to fit the goals. Through treatments such as dental veneers, dental crowns, teeth whitening, and/or bite correction, we can rebuild the original shape and structure of your teeth while enhancing facial balance.
How a Smile Makeover Rejuvenates Your Appearance
By restoring proper tooth length and contour, a smile makeover helps support the lips and soft tissues of the face, often creating a more refreshed and vibrant look. Correcting wear also improves function, allowing you to chew comfortably and speak with confidence.
A healthy, symmetrical smile reflects light better and can take years off your appearance. Beyond aesthetics, restoring your teeth helps prevent further damage and supports long-term oral health, helping you maintain a confident, youthful smile for years to come.
A youthful smile is about much more than appearance — it also plays an important role in your self-confidence and overall well-being. Entering your golden years with a healthy mouth not only helps you feel more confident when you speak, laugh, and socialize, but can also prevent discomfort and reduce the need for complex dental treatments later in life. A strong, healthy smile supports both your quality of life and your confidence for years to come.
Schedule Your Consultation at Prisma Dental
Your smile plays a key role in how youthful and confident you look. Whether you’re considering teeth whitening, veneers, or a full smile makeover, our team at Prisma Dental will guide you through the best options based on your goals.
We provide personalized treatment plans designed to improve both the appearance and long-term health of your smile.
Real Smile Results


